February 6, 2018
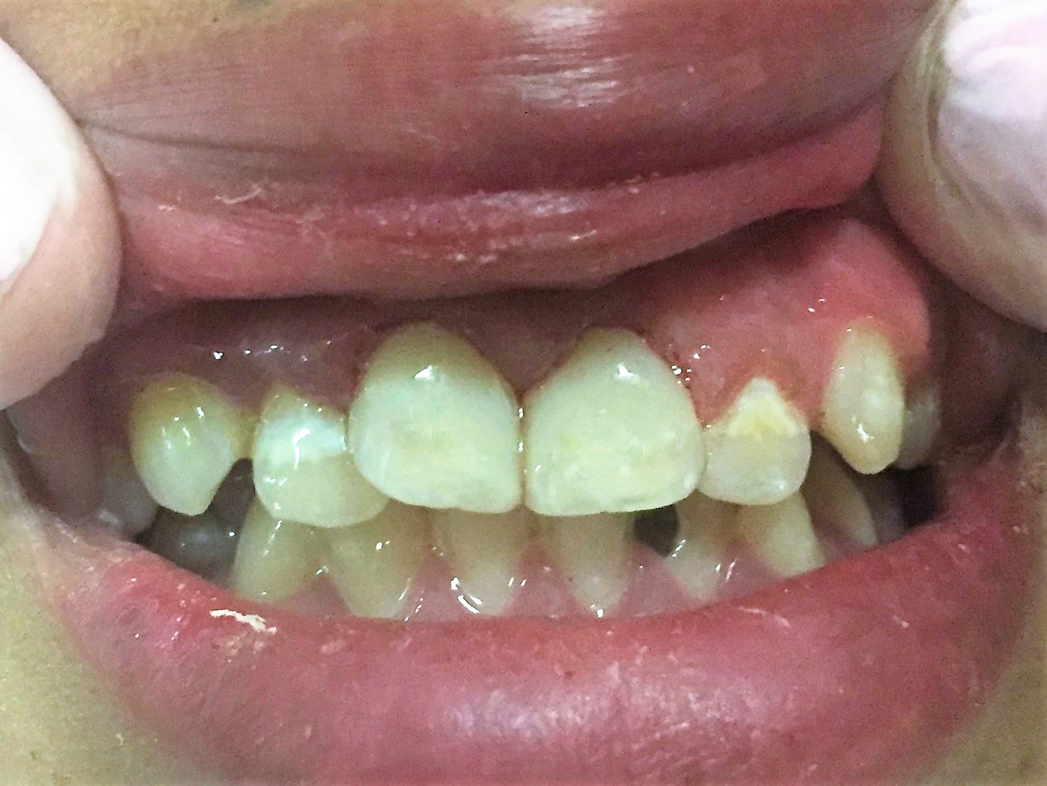
Today, a young boy came into our clinic with a terrible toothache. He had been referred by one of the nuns at Villa de los NiƱos school. He had a back molar that was so infected and excruciatingly painful that he couldn't sleep at night. When I examined this boy, I told him that we would fix his aching back tooth and then, next week, fix his front teeth (which were only slightly sensitive).
![]() |
| Before |
Although his incisors (in this photo) looked horrendous, the decay had progressed so rapidly over the last few years that it had spread out on the surface of the enamel, but hadn't broken through the dentin deep enough to kill the nerves yet. Almost as an afterthought, I said to the boy, "Or, if you would rather, we could fix your front teeth today and work on your back tooth next week."
Trudy and I were stunned at the boy's response. With absolute certainty, he said, "Please, fix my front teeth today."
If you have ever wondered how painful unkind words can be, just think of these pictures. This twelve-year-old boy chose to spend sleepless nights and painful days rather than endure embarrassment and ridicule for one more week.
![]() |
| After |
Although his back molar was still hurting, when he left our office he had a smile on his face! (Next week, we will work on the molar.)


No comments:
Post a Comment